– την δευτεροπαθή

Η δευτεροπαθής οστεοαρθρίτιδα είναι γνωστής αιτιολογίας και εμφανίζεται πιο συχνά σε άτομα μικρότερης ηλικίας. Παράγοντες όπως οι αναπτυξιακές ανωμαλίες, οι επαναλαμβανόμενες κακώσεις, η παχυσαρκία και η κληρονομικότητα συμβάλουν στην πρόωρη ανάπτυξη της οστεοαρθρίτιδας του γόνατος.

Τα πιο συχνά αίτια είναι:
Σχαλιδωτική οστεοχονδρίτιδα
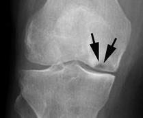
Εκφύλιση του γόνατος μπορεί επίσης να προκληθεί από μια κατάσταση που αναφέρεται ως οστεοχονδρίτιδα. Αυτή κυρίως προσβάλλει νέους ενήλικες και εφήβους. Σε αυτή το υποχόνδριο οστό σε ορισμένα σημεία (κυρίως στους έσω μηριαίους κονδύλους) γίνεται μαλακό και χάνει την συνοχή του με το υπόλοιπο οστό. Σε προχωρημένα στάδια αυτό το τμήμα του οστού μπορεί να αποκολληθεί και να λειτούργει σαν ελεύθερο σώμα εντός της άρθρωσης. Αυτά τα ελευθέρα σώματα ποικίλουν σε μέγεθος και μπορούν να προκαλέσουν αστάθεια, πόνο ή μηχανικό block.

Οστεονέκρωση
Για λόγους που δεν είναι απόλυτα τεκμηριωμένοι (π.χ. λήψη κορτιζόνης σε μεγάλες δόσεις, δρεπανοκυτταρική αναιμία κλπ) ένα τμήμα του μηριαίου η του κνημιαίου κονδύλου μπορεί να υποστεί έμφραγμα που οδηγεί σε ισχαιμική νέκρωση. Το αποτέλεσμα είναι το νεκρωμένο υποχόνδριο οστό να μην μπορεί να υποστηρίξει τον υπερκείμενο αρθρικό χόνδρο, να υποχωρεί και ο κόνδυλος να χάνει το σχήμα του.

Μετατραυματική αρθρίτιδα
Τραυματική αρθρίτιδα προκύπτει από ένα σοβαρό τραυματισμό στο γόνατο, όπως ένα κάταγμα, μια συνδεσμική βλάβη ή μια ρήξη μηνίσκου. Η επίδραση του ατυχήματος προκαλεί επίσης μίνι τραύμα στο αρθρικό χόνδρο που την πάροδο του χρόνου, εξελίσσεται σε οστεοαρθρίτιδα, προκαλώντας πόνο στο γόνατο και ακαμψία.

Λοιμώδης αρθρίτιδα
Τα μικρόβια και οι τοξίνες που εκκρίνουν αυτά προκαλούν, αν δεν αντιμετωπιστούν εγκαίρως, άμεση καταστροφή του χόνδρου. Αν αυτό συμβεί στην παιδική ηλικία η αρχιτεκτονική δομή του ισχίου καταστρέφεται γιατί το ισχίο σε αυτή την ηλικία αποτελείται κυρίως από χόνδρο. με αποτέλεσμα την ανάπτυξη πρόωρης οστεοαρθρίτιδας.