ΜΑΚΟ Ρομποτική Μονοδιαμερισματική Αρθροπλαστική Γονατος 

Η τεχνική PΚR – MAKOplasty που βασίζεται στην χρήση της τεχνολογίας του ρομποτικού βραχίονα (MAKO Robotic-Arm Assisted Technology) μπορεί να χρησιμοποιηθεί για την μερική αντικατάσταση του γόνατος (PKR), η οποία είναι μια διαδικασία που αποσκοπεί στην ανακούφιση του πόνου που προκαλείται όταν υπάρχει εκφύλιση των αρθρικών επιφανειών λόγω οστεοαρθρίτιδας (ΟΑ) μόνο σε ένα από τα διαμερίσματα του γόνατος.

Απομονώνοντας το διαμέρισμα του γόνατος που έχει υποστεί βλάβη από την ΟΑ, ο χειρουργός μπορεί επιλεκτικά να αντικαταστήσει τις κατεστραμμένες αρθρικές επιφάνειες  ενώ παράλληλα διατηρεί ανέπαφα τα υγιή οστά και τους συνδέσμους που τον περιβάλλουν.

Η ρομποτική τεχνολογία MAKO παρέχει στον χειρουργό ένα εξατομικευμένο τρισδιάστατο (3D) μοντέλο για τον κάθε ασθενή έτσι ώστε ο χειρουργός να πραγματοποιήσει τον προ-εγχειρητικό σχεδιασμό της μερικής αντικατάστασης του γόνατος με μεγάλη ακρίβεια.

Κατά τη διάρκεια της χειρουργικής επέμβασης, ο χειρουργός καθοδηγεί το ρομποτικό βραχίονα MAKO βάσει του προεγχειρητικού σχεδιασμού. Αυτό επιτρέπει στον χειρουργό να αφαιρέσει μόνο το κατεστραμμένο οστό, διατηρώντας ανέπαφα τα υγιή οστά και τα μαλακά μόρια ενώ βοηθά τον χειρουργό να τοποθετήσει το εμφύτευμα με ακρίβεια βάση την ανατομία του ασθενούς.

 

Πριν την εγχείρηση

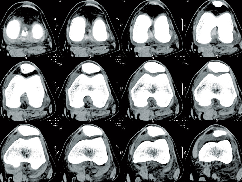
Όλα ξεκινούν με μια αξονική τομογραφία (CT) της άρθρωσης του γόνατος η οποία χρησιμοποιείται για τη δημιουργία ενός εξατομικευμένου τρισδιάστατου εικονικού μοντέλου.

Αυτό το εικονικό μοντέλο φορτώνεται στο λογισμικό του συστήματος MAKO και χρησιμοποιείται από τον χειρουργό για να δημιουργήσει το εξατομικευμένο προ-εγχειρητικό πλάνο.

Αυτό περιλαμβάνει αφενός την δημιουργία ενός στερεοτακτικού παραθύρου (απαραίτητο για την ακριβή αφαίρεση του παθολογικού οστού) αφετέρου την επιλογή του ιδανικού μεγέθους του εμφυτεύματος και την τοποθέτησή του με τέτοιο τρόπο ώστε να επιτευχθεί η επιθυμητή μετεγχειρητική κάλυψη των οστών και η σωστή ευθυγράμμιση του σκέλους.

Ρομποτική Μονοδιαμερισματική Αρθροπλαστική Γόνατος

 Στο Χειρουργείο

Στο χειρουργείο, ο χειρουργός χρησιμοποιεί το σύστημα MAKO για να τον βοηθήσει στην εκτέλεση της χειρουργικής επέμβασης με βάση το εξατομικευμένο προεγχειρητικό σχέδιο.

Το σύστημα MAKO επιτρέπει επίσης στον χειρουργό να κάνει προσαρμογές στο προεγχειρητικό σχέδιο κατά τη διάρκεια της χειρουργικής επέμβασης, όπως απαιτείται.

Όταν ο χειρουργός προετοιμάσει το οστό για το εμφύτευμα, το σύστημα MAKO καθοδηγεί τον χειρουργό στην προκαθορισμένη περιοχή και βοηθάει τον χειρουργό να μην κινείται εκτός των προγραμματισμένων ορίων (το στερεοτακτικό παράθυρο). Αυτό βοηθά στην ακριβέστερη τοποθέτηση και ευθυγράμμιση του εμφυτεύματός.

Τέλος σύστημα MAKO χρησιμοποιώντας ένα σύστημα δυναμικών αναφορών για την διεγχειρητική εκτίμηση του εύρους κίνησης του γόνατος, επιτρέπει στον χειρουργό να πραγματοποιεί επιτόπιες προσαρμογές αν αυτό απαιτηθεί κατά τη διάρκεια της χειρουργικής επέμβασης.

 Μετά το Χειρουργείο

Στο νοσοκομείο μετά τη χειρουργική επέμβαση, ο χειρουργός σε συνεργασία με τους νοσηλευτές και τους φυσιοθεραπευτές θέτει ένα πρόγραμμα στον ασθενή για την άμεση κινητοποίησή του λίγες ώρες μετά το τέλος του χειρουργείου. 

Πρωταρχικός στόχος της χειρουργικής επέμβασης είναι η ανάκτηση της πλήρους αυτονομίας από τον ασθενή και η έξοδος του από το νοσοκομείο του πράγμα που συνήθως συμβαίνει την πρώτη ή την δεύτερη ημέρα.

Απώτερος σκοπός του χειρουργείου είναι  η επιστροφή του ασθενή στις καθημερινές δραστηριότητές του το συντομότερο δυνατό (μέσα στον πρώτο μήνα) και στις ήπιες αθλητικές δραστηριότητες μέσα (κολύμπι, χορό, πεζοπορία κλπ)  στους πρώτους 3 – 6 μήνες.

Πρέπει να τονισθεί ότι τεχνική PKR-MAKOplasty εγγυάται την σωστή τοποθέτηση της πρόθεσης και όχι το κλινικό αποτέλεσμα του χειρουργείου, δηλαδή αποτελεί μια δικλίδα ασφαλείας για τους ορθοπαιδικούς (μη ειδικούς χειρουργούς ισχίου και γόνατος) που πραγματοποιούν αρθροπλαστικές.

Το βραχυπρόθεσμο και μακροπρόθεσμο αποτέλεσμα της αρθροπλαστικής σχετίζεται άμεσα με την εμπειρία και την εξειδίκευση του χειρουργού μέσα από την οποία προκύπτει και η ικανότητά του να συνδυάζει την τεχνολογία MAKO με άλλες συμβατές τεχνικές ελάχιστης.